腎泌尿器科
Urology
腎泌尿器科
Urology
犬の慢性腎臓病は、様々な原因で3ヶ月以上腎臓に問題が生じた時の総称です。原因としては、糸球体腎炎や尿管結石、腎臓腫瘍など様々です。当院では、血液検査で腎臓の数値が上がっていることだけでなく、なぜ上がっているのかを詳しく確認します。エコー検査、追加の血液検査、尿検査、血圧測定などを行い、慢性腎臓病とその原因を診断します。そして、慢性腎臓病の管理だけでなくその原因に対しても治療を行うことで、腎臓機能の回復や温存、そして全身状態の改善を達成できると考えています。
尿は腎臓で作られたのち、尿管⇨膀胱⇨尿道を通って体の外に排泄されます。その通り道に、尿の成分を元にした石が作られるのが尿路結石症で、できる部位により尿管結石・膀胱結石・尿道結石と名前が変わります。この結石は、尿が出なくなったり炎症を起こしたりと様々な悪さをします。治療は、石を溶かす内科治療や溶けない石に対して行う外科治療があります。当院では、これら全てに対して外科治療を行うことができ、またSUBという特殊なステント手術も行うことができます。
腎盂腎炎は、腎臓に細菌が感染することで起こる病気です。症状は、元気・食欲の低下、発熱、虚脱などです。尿や血液から、菌が腎臓にいくことで発症すると考えられています。緊急の対処が必要な場合もあり、当院では血液検査、尿検査、エコー検査、細菌培養検査を行い、迅速に診断し早期の治療を目指します。治療は、注射による抗生剤の投与と点滴などによる全身状態の改善を目的として、入院治療を勧める場合が多いです。
猫の慢性腎臓病は、様々な原因で3ヶ月以上腎臓に問題が生じた時の総称です。原因としては、間質性腎炎や尿管結石など様々です。当院では、血液検査で腎臓の数値が上がっていることだけでなく、なぜ上がっているのかを詳しく確認します。エコー検査、追加の血液検査、尿検査、血圧測定などを行い、慢性腎臓病とその原因を診断します。そして、慢性腎臓病の管理だけでなくその原因に対しても治療を行うことで、腎臓機能の回復や温存、そして全身状態の改善を達成できると考えています。
尿は腎臓で作られたのち、尿管⇨膀胱⇨尿道を通って体の外に排泄されます。その通り道に、尿の成分を元にした石が作られるのが尿路結石症で、できる部位により尿管結石・膀胱結石・尿道結石と名前が変わります。この結石は、尿が出なくなったり炎症を起こしたりと様々な悪さをします。治療は、結石を溶かす内科治療や溶けない結石に対して行う外科治療があります。当院では、これら全てに対して外科治療を行うことができ、またSUBという特殊なステント手術も行うことができます。
特発性とは原因がはっきりとしないという意味で、若い猫の膀胱炎のおよそ60%は特発性膀胱炎だという報告もあります。膀胱自体に炎症が起こりやすい、膀胱の痛みを感じやすい、などが原因と考えられています。また、この特発性膀胱炎はストレスによっても悪化することがあります。当院では、ストレス対策も含めた環境改善、トイレ改善などの、多面的な環境改善(Multimodal Environmental Modification:MEMO)を主体とした治療方法を提案させていただきます。
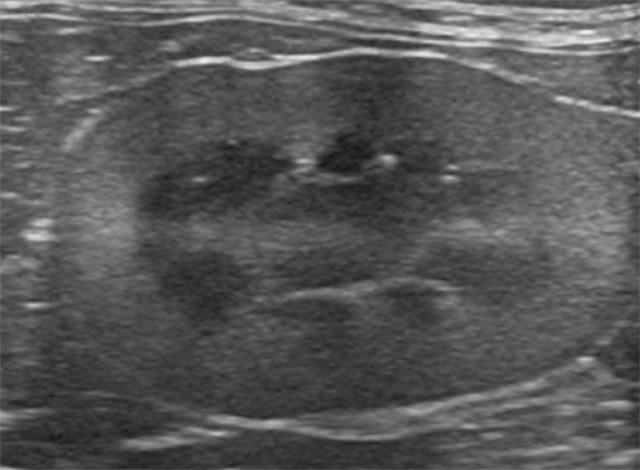
血液検査で腎臓の数値が高い時「腎臓病です」で終わらずに、腎臓に何が起こっているのか、腎臓以外の問題はないのか、をしっかり調べます。高性能の超音波検査で腎臓やその周囲に起こっている細かな異常をしっかり確認します。

慢性腎臓病の治療は、IRIS(国際獣医腎臓病研究グループ)のガイドラインを参考に、タンパク尿や血圧の異常の有無も確認し、より細やかで的確な内科治療を行います。また、慢性腎臓病に対しての適切な予防やモニターの仕方についてもご相談いただけます。

尿管結石や膀胱腫瘍、膀胱結石など腎泌尿器疾患への手術の執刀を数多く経験しています。細かな操作が必要なマイクロサージェリーやSUB設置術などにも対応しています。

受付いただきましたら、スタッフから問診させていただきます。どのような症状がいつごろからあるのかお伺いさせていただきます。尿をお持ちいただいている方はスタッフにお渡しください。

脱水がないか、痩せていないか、膀胱の尿の溜まりは正常か、他の異常がないか確認していきます。

症状や状態に応じて、血液検査、尿検査、超音波検査、血圧測定などを提案させていただき、相談の後検査を実施します。ただ尿道閉塞などで重症の場合、救命行為として最小限の説明の後、状態を安定させるために酸素吸入や一部の検査・処置を先に実施する場合もあります。

検査結果に応じて、内科治療、食事療法、外科治療など必要な治療を提案させていただき、相談の中で治療方針を決めさせていただきます。重度の腎臓病で、点滴治療や集中管理が必要な場合は、入院のご提案させていただくことがあります。

お会計、お薬のお渡し、説明資料のお渡しは受付からさせていただきます。次回の再診目安もお伝えさせていただきます。

※表示価格は全て税込価格です。
| 尿検査 | 3,300円~ |
|---|---|
| 膀胱エコー | 3,300円~ |
| 腎臓病への総合的な検査 | 5,500円~ |
| 膀胱炎:軽度 | 3,300円~(内服1種類2週間) |
|---|---|
| 腎臓病:軽度 | 3,300円~(内服1種類2週間) |
| 重度 | 入院を提案する場合もあり、状態により概算をお伝えします。 |