消化器科
Gastroenterology
消化器科
Gastroenterology
胃や腸に炎症が起き、通常の胃腸運動が損なわれることで食欲の低下や嘔吐などの症状が見られる病気です。細菌やウイルスなどが原因として考えられますが、それ以外にも様々な病気に併発して同じような症状が見られることから、当院では状況によってはエコー検査や血液検査などで他の病気がないかを確認するようにしています。また過不足ない治療で、症状が早く改善する治療を心がけています。
犬の慢性腸症は、様々な原因により嘔吐や下痢などの症状が1~2週間以上続く状態を言います。原因には、食事、腸内細菌、免疫のトラブルなどがあります。当院ではこの慢性腸症に対して、血液検査、便検査、除去食試験、試験的な抗生剤投与、内視鏡検査(現在は他院での紹介検査)を行います。これらの検査を行い根本的な原因を突き止めることで、完治できるケースもあります。また継続的なお薬の投与が必要とわかった時も、なるべく副作用が出ないような治療を行います。
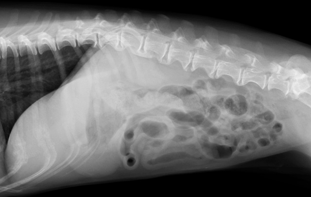
犬・猫は、おもちゃや家族の持ち物、中毒を起こす食べ物など、誤って食べることがあります。物によっては、体の中から傷つけたり、腸を詰まらせたり、毒となって害を及ぼすことがあり、時に緊急の対応が必要なこともあります。当院では、食べたものがどこにあるのかレントゲン検査やエコー検査で確認します。また、動物への負担と今後のリスクをしっかり判断して、催吐処置や内視鏡、摘出手術などの必要な処置を行います。
猫は様々なものを誤って飲み込むことがあります。その中で、大きな塊や紐状の異物(毛糸など)は腸をつまらせることもあり、時に緊急対応が必要なことがあります。特に紐状の異物は、他の異物より腸に穴が開くことが多く、より早い対応が必要になります。当院では、レントゲン検査とエコー検査で異物を早期に診断し、必要な外科摘出をなるべく早いタイミングで適切に行うことで、動物への負担を最小限にします。
猫の慢性腸症は、様々な原因により嘔吐や下痢などの症状が1~2週間以上続く状態を言います。原因には、食事、免疫のトラブルなどがあります。当院ではこの慢性腸症に対して、血液検査、便検査、除去食試験、内視鏡検査(現在は他院での紹介検査)を行います。これらの検査を行い根本的な原因を突き止めることで、完治できるケースもあります。またこの検査では要点を押さえることで、症状や検査結果が似ている腸のリンパ腫をしっかり鑑別するようにします。また継続的なお薬の投与が必要とわかった時も、なるべく副作用が出ないような治療を行います。
膵炎は、消化酵素などを分泌する膵臓という臓器に激しい炎症が起こる病気です。食欲の低下、吐くなどの症状が多いですが、より重度の膵炎では多臓器不全を起こすこともあります。また、膵炎は診断が難しく適切な診断ができないと、治療が足りなかったりやりすぎたりすることもあります。当院では、症状、血液検査、エコー検査をベースに多面的な検査でより正確な膵炎の診断を行います。また、治療も過不足のない治療を行います。
当院の消化器科は超音波検査とレントゲン検査を適切に使って、細かな異常まで見つけ出します。これらの検査は動物への負担も少ないことから、飼い主様にも安心して検査を受けていただけます。

当院は、内視鏡装置を導入しています。これにより、異物を飲み込んでしまった際もお腹を切らずに内視鏡を使うことで摘出できることもあります。また、長く続いている嘔吐や下痢に関しても内視鏡での検査を行うことで、原因となる病気を診断することができることもあります。内視鏡装置は、動物への負担を少なく検査や治療を行うことができます。

万が一、異物が腸に詰まった、腸の腫瘍が見つかった、という時、当院では外科手術も対応しています。
異物の摘出、腸の部分切除など執刀医としての手術実績も豊富にあるので、緊急的な手術が必要な場合も柔軟に対応します。

受付いただきましたら、スタッフから問診させていただきます。どのような症状がいつごろからあるのかお伺いさせていただきます。便をお持ちいただいている方はスタッフにお渡しください。

お腹に痛みがないか、腫れている部位がないか、腸の中にガスがどの程度溜まっているか、他の異常がないか確認していきます。

下痢や血便といった便の症状の際にはまず糞便検査を行います。また症状の経過や触診の結果によっては画像検査、血液検査をご提案させていただきます。嘔吐など上部消化器疾患の症状では程度によって画像検査や血液検査をご提案させていただくことがあります。

検査結果に応じてお薬や食事療法などをご提案させていただきます。必要に応じて更なる精査を目的に消化管造影検査や内視鏡検査をご提案させていただくこともあります。なお、ご飯やお水を十分に取れず脱水などで弱ってしまうことが想定される動物に関しては入院治療をお勧めすることもあります。

お会計、お薬のお渡し、説明資料のお渡しは受付からさせていただきます。次回の再診目安もお伝えさせていただきます。

※表示価格は全て税込価格です。
| お腹のエコー検査 | 6,600円 |
|---|---|
| 便検査 | 2,200円 |
| 軽度 | 1,100円~(飲み薬) |
|---|---|
| 中度 | 5,500円~(飲み薬・皮下点滴) |
| 重度 | 入院を提案する場合もあり、状態により概算をお伝えします。 |